Meses depois de sofrer um AVC aos 32 anos, a atriz e modelo Daniella London foi internada novamente após exames indicarem “alertas”. Em uma série de fotos, ela compartilhou os momentos de tensão vividos recentemente, mas tranquilizou os fãs dizendo que já está em casa.
++ Sistema de IA revela como gente comum está criando renda passiva no automático
“Na semana passada, precisei ser internada por alguns dias. Não foi um novo AVC, tá? Mas os exames de acompanhamento mostraram alguns alertas”, explicou ela.
++ Jovem mata o padrasto para defender a mãe e o inesperado acontece
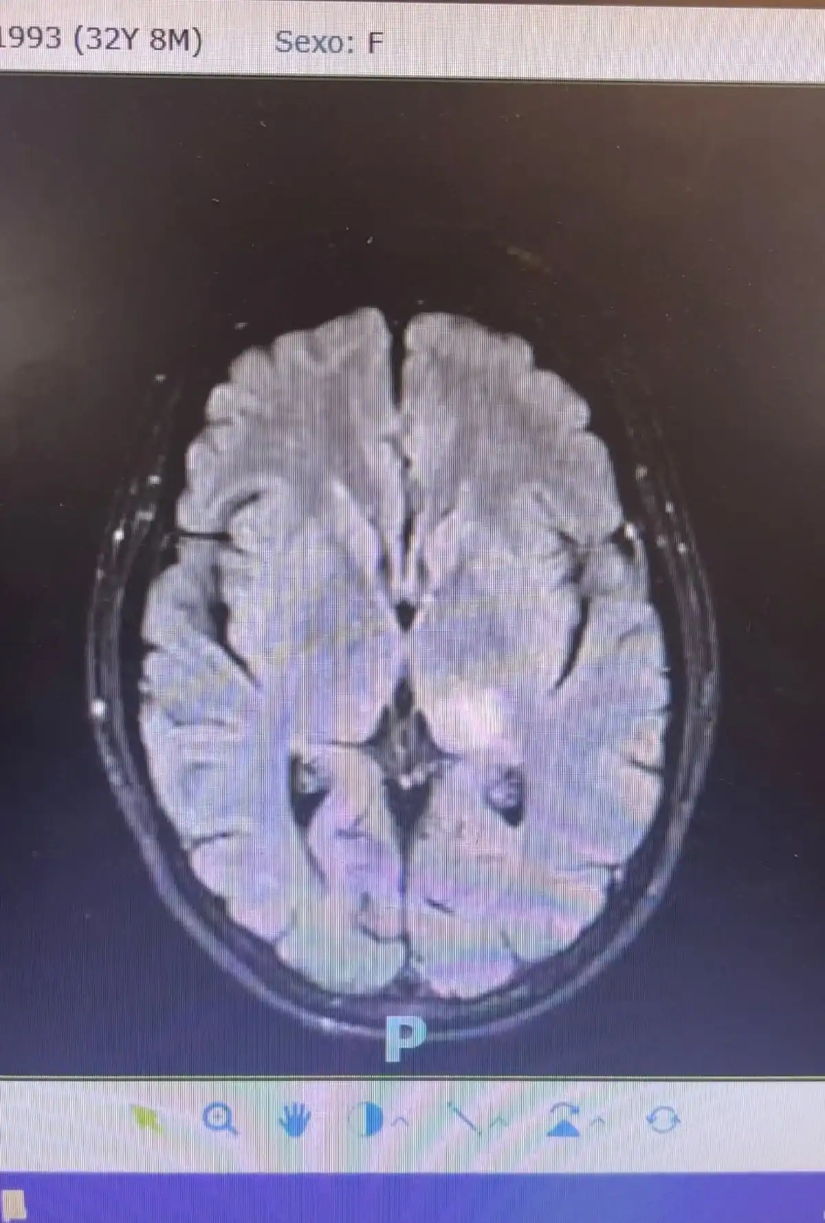
Daniella forneceu mais detalhes: “Na última ressonância de crânio, detectamos uma possível vasculite. Vasco = vaso / Lite = inflamação, ou seja, uma inflamação dos vasos. No meu caso, foi identificado em apenas um, na cabeça”, contou, antes de acrescentar.
“Desde então, estou fazendo exames para confirmar se essa foi a causa do AVC e se há inflamações em outras partes do corpo: punção lombar, exames de sangue, arteriografia. Fiz de tudo um pouco (risos)”, afirmou.
Logo após, Daniella comentou sobre o diagnóstico: “Por enquanto, só encontramos essa inflamação única no vaso da cabeça e a decisão médica foi tratar com corticoide intravenoso para mitigar os riscos”, pontuou.
Em seguida, ela relatou sobre a internação: “Fiquei internada por 6 dias e tentei ficar mais quieta, organizando meus pensamentos… Mas a boa notícia é que estou há 5 dias sem dores de cabeça”, comemorou.
Por fim, ela desabafou, mas trouxe uma notícia positiva: “Confesso que o ambiente hospitalar é complicado, mas a equipe foi de um carinho incrível comigo. Agora estou bem e em casa 💪🏻❤️”, concluiu.


